Pernahkah anda rasa berdenyut-denyut pada gigi sehingga sukar untuk tidur malam? Apabila doktor gigi menyebut tentang rawatan akar gigi, ramai yang terus membayangkan prosedur yang menyakitkan dan menakutkan. Hakikatnya, pengalaman rawatan akar gigi hari ini jauh berbeza daripada apa yang anda fikirkan. Ia lebih selesa, lebih terkawal, dan dalam banyak kes, hampir tidak menyakitkan.
Apa Itu Rawatan Akar Gigi?
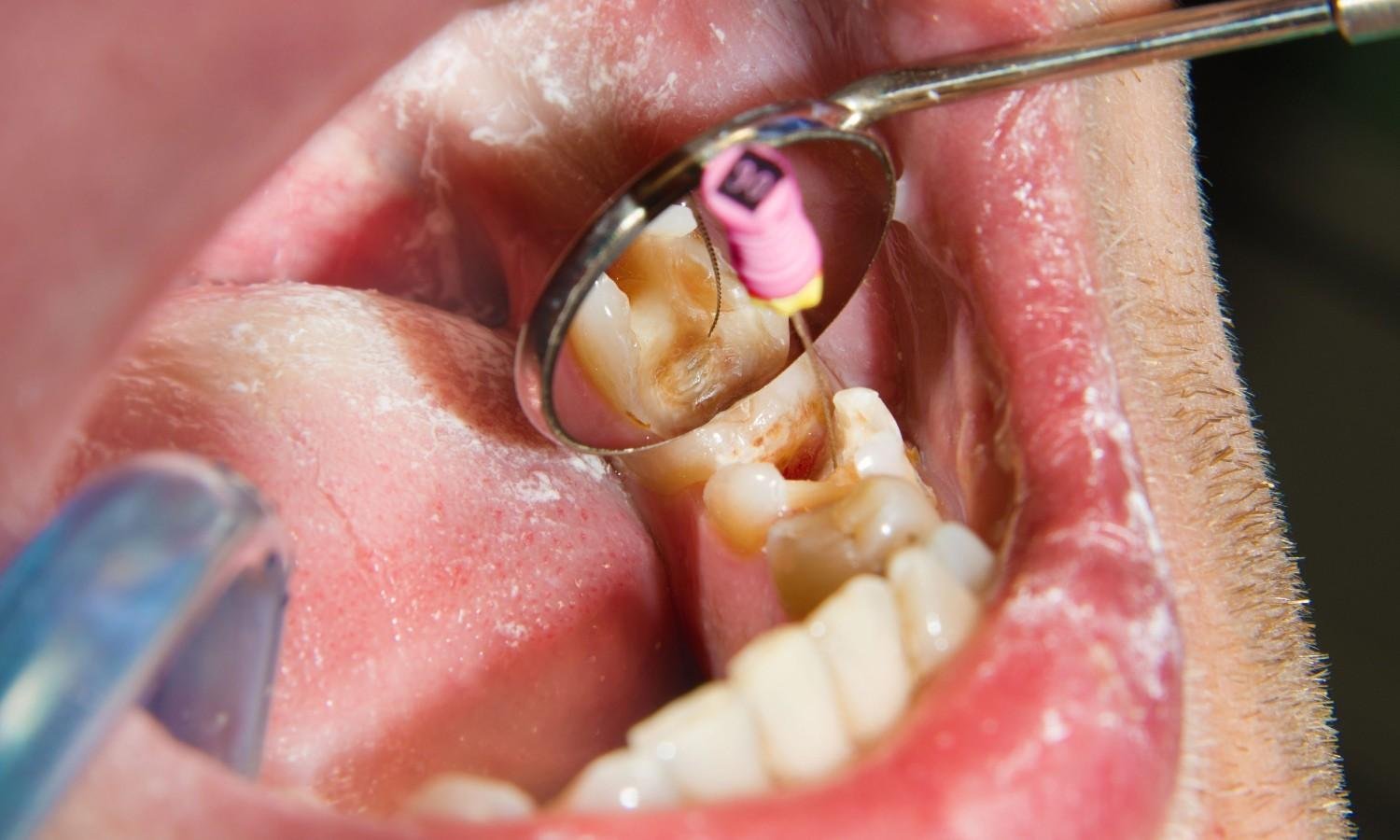
Rawatan akar gigi atau dalam bahasa perubatan dipanggil rawatan endodontik, adalah prosedur pergigian yang dilakukan apabila bahagian dalam gigi anda yang dipanggil pulpa sudah dijangkiti atau rosak. Apabila ia dijangkiti biasanya akibat kaviti yang dalam atau trauma anda mungkin akan mengalami sakit berdenyut, sensitiviti terhadap panas atau sejuk dan bengkak pada gusi.
Dalam rawatan ini, doktor gigi akan membuang tisu saraf yang dijangkiti, membersihkan saluran akar dan mengisi dan menutup gigi untuk mengelakkan jangkitan semula.
Apa Yang Anda Akan Rasa Semasa Rawatan?
Peringkat 1: Semasa Suntikan Kebas Diberikan
Perkara pertama yang anda rasai ialah anestesia tempatan dan ini biasanya bahagian yang paling ramai orang bimbang tapi hakikatnya ia jauh lebih mudah daripada yang disangka.
Doktor gigi yang baik akan sapu gel kebas pada gusi anda terlebih dahulu, kira-kira satu hingga dua minit sebelum suntikan. Gel ini mengurangkan kepekaan kulit gusi supaya jarum hampir tidak terasa langsung.
Semasa suntikan diberikan, anda mungkin rasa:
- Cubitan atau tekanan kecil di kawasan gusi bukan sakit yang tajam, lebih kepada rasa “dicubit perlahan”
- Rasa hangat atau sedikit terbakar seketika apabila ubat kebas mula masuk ke dalam tisu dan ini adalah tindak balas normal
- Kebas yang merebak perlahan dari titik suntikan ke kawasan sekeliling lidah, pipi, atau bahkan bahagian bawah hidung mungkin turut rasa kebas bergantung kepada lokasi gigi
Selepas suntikan, doktor gigi akan tunggu 10 hingga 15 minit sebelum meneruskan rawatan. Gunakan masa ini untuk tarik nafas dalam-dalam dan tenangkan diri.
Peringkat 2: Semasa Rawatan Berlangsung
Setelah kawasan itu betul-betul kebas, anda akan rasa hampir tiada apa-apa dari segi kesakitan. Namun, ini tidak bermakna anda tidak rasa langsung. Ada beberapa sensasi yang anda mungkin alami.
- Tekanan atau getaran daripada alatan doktor gigi ini normal dan bukan tanda kesakitan
- Rasa logam atau pahit dalam mulut, terutamanya daripada cecair antiseptik yang digunakan untuk membilas saluran akar
- Rasa kering kerana mulut terbuka lama dan penggunaan pelapik getah untuk mengasingkan gigi
- Sesekali rasa sedikit sensitif jika kawasan kebas tidak sempurna beritahu doktor anda segera jika ini berlaku
Apa Yang Anda Akan Rasa Selepas Rawatan Akar Gigi?
Beberapa Jam Pertama
Anestesia masih aktif selama 2 hingga 4 jam selepas rawatan. Dalam tempoh ini bibir, lidah, atau pipi masih rasa kebas dan “tebal”. Jangan makan makanan panas atau keras sehingga kebas hilang dan anda mungkin terasa sedikit janggal semasa bercakap.
Hari Pertama dan Kedua
Apabila kebas hilang, kesakitan ringan hingga sederhana adalah perkara biasa. Ini bukan tanda sesuatu yang salah. Ia adalah tindak balas semula jadi badan terhadap rawatan. Anda mungkin rasa sakit atau ngilu apabila menggigit atau menekan gigi yang dirawat. Gusi di sekitar gigi sedikit bengkak atau lembut dan anda mungkin rasa tidak selesa apabila makan atau minum. Kesakitan ini biasanya boleh dikawal dengan ubat penahan sakit kaunter biasa seperti ibuprofen atau paracetamol. Doktor gigi anda akan berikan arahan yang sesuai.
Bila Anda Perlu Bimbang?
Hubungi doktor gigi anda jika anda mengalami kesakitan yang semakin teruk selepas 3 hari, bengkak yang tidak surut atau bertambah besar, demam atau bahan pengisi dan mahkota sementara tercabut.
Mengapa Rawatan Akar Gigi Sangat Penting?
Menyelamatkan Gigi Asli Anda
Gigi asli adalah yang terbaik. Tiada gigi palsu, implan, atau jambatan yang mampu menandingi fungsi dan kekuatan gigi asli sepenuhnya. Rawatan akar gigi membolehkan anda mengekalkan gigi anda untuk berdekad lamanya.
Mencegah Jangkitan Merebak
Jika gigi yang dijangkiti dibiarkan, bakteria boleh merebak ke tulang rahang, gigi jiran, dan bahkan ke bahagian lain badan. Dalam kes yang serius, jangkitan gigi yang tidak dirawat boleh menjadi mengancam nyawa walaupun ini jarang berlaku.
Mengekalkan Struktur Rahang
Apabila gigi dicabut, tulang rahang di kawasan itu mula mengecil dan menyusut dari masa ke masa. Ini boleh mengubah bentuk muka anda dan menyukarkan rawatan gigi pada masa hadapan.
Kos Jangka Panjang yang Lebih Rendah
Rawatan akar gigi memang mempunyai kos tapi bandingkan dengan kos cabut gigi dan implan atau jambatan gigi, rawatan akar gigi seringkali lebih jimat dalam jangka panjang.
Soalan Lazim (FAQ) – Rawatan Akar Gigi
Tidak. Rawatan akar gigi itu sendiri tidak menyakitkan. Yang menyakitkan adalah jangkitan sebelum rawatan. Doktor gigi akan menggunakan anestesia tempatan (suntikan kebas) sebelum memulakan prosedur. Dengan anestesia yang berkesan, anda sepatutnya tidak merasai sebarang kesakitan yang ketara semasa rawatan berlangsung.
Rawatan akar gigi perlu dilakukan apabila bahagian dalam gigi anda iaitu pulpa sudah dijangkiti atau rosak akibat kaviti yang teruk, gigi retak, atau kecederaan. Jika dibiarkan, jangkitan boleh merebak ke tulang rahang dan gigi jiran, menyebabkan kesakitan yang semakin teruk, bengkak, malah abses. Rawatan ini bukan sahaja menghilangkan kesakitan malah ia menyelamatkan gigi asli anda daripada terpaksa dicabut.
Kesakitan selepas rawatan akar gigi biasanya berlangsung selama 2 hingga 3 hari sahaja dan boleh dikawal dengan ubat penahan sakit biasa seperti ibuprofen atau paracetamol. Ini adalah tindak balas normal badan terhadap rawatan. Namun, jika kesakitan semakin teruk selepas hari ketiga atau disertai bengkak dan demam, segera hubungi doktor gigi anda kerana ia mungkin tanda jangkitan yang memerlukan perhatian lanjut.
Kebanyakan kes memerlukan 1 hingga 2 sesi rawatan. Kes mudah pada gigi hadapan yang mempunyai satu saluran akar mungkin boleh disiapkan dalam satu sesi. Manakala gigi geraham yang mempunyai 3 hingga 4 saluran akar, atau kes jangkitan yang lebih serius, mungkin memerlukan 2 sesi atau lebih. Selepas rawatan akar gigi selesai, anda masih perlu datang semula untuk pasang crown bagi melindungi gigi secara kekal.
Ya, rawatan akar gigi selamat dilakukan semasa mengandung, dan trimester kedua adalah tempoh terbaik untuk menjalaninya. Anestesia tempatan yang digunakan juga selamat untuk ibu dan bayi. Jangkitan gigi yang tidak dirawat sebenarnya lebih berbahaya kepada kandungan anda berbanding rawatan itu sendiri. Pastikan anda maklumkan kepada doktor gigi tentang usia kandungan sebelum rawatan dimulakan.
Klinik Gigi Penang
Sudah Bersedia untuk Rawatan Akar Gigi?

Jangan tunggu sehingga kesakitan gigi menjadi tidak tertanggung. Lebih awal anda mendapatkan rawatan, lebih mudah prosedurnya dan lebih baik hasilnya.
Tempah temu janji anda hari ini di Klinik Pergigian kami di Bayan Lepas, atau hubungi kami terus untuk menetapkan sesi konsultasi dan tanya tentang pilihan rawatan yang sesuai untuk anda. Gigi sihat, hidup bahagia!




